Biely úsmev by mal byť výkladnou skriňou každého upraveného človeka.
Fajčenie cigariet, pitie kávy, či čaju, nesprávne čistenie zubov od zvyškov jedla – to všetko však spôsobuje tvorbu zubného kameňa.
Ako sa ho zbaviť doma?
Portál newsy poradil, ako sa zbaviť zubného kameňa bez toho, aby ste navštívili dentálnu hygieničku.
Zubný kameň dokáže pokaziť aj ten najkrajší úsmev.
A každý z nás sa chce slobodne usmievať a rozprávať bez toho, aby si iní všimli na našich zuboch nedokonalosti.
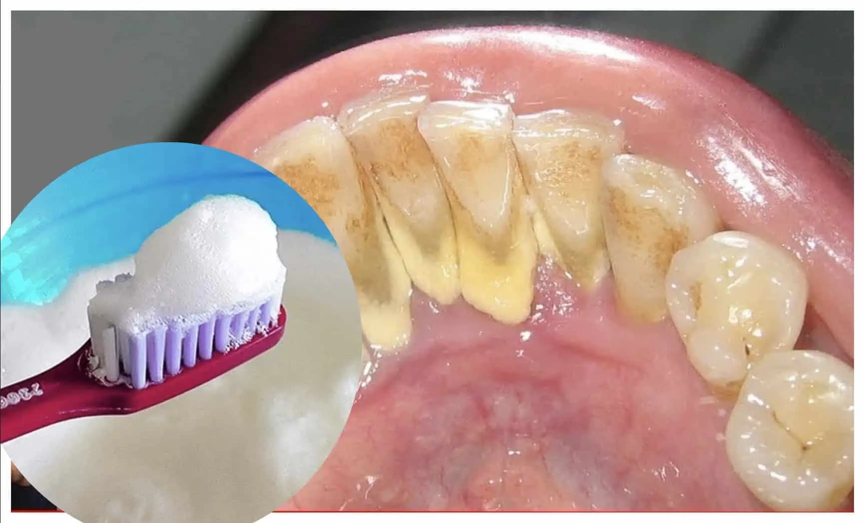
Čo je zubný kameň a ako vzniká?
Zubný kameň nie je nič iné ako mineralizovaný povlak tvorený čiastočkami potravy zmiešanými so slinami.
Takýto povlak sa začne hromadiť po niekoľkých desiatkach hodín od posledného umytia zubov a zvyčajne sa hromadí na miestach, ktoré sú zubnou kefkou ťažko dostupné.
Zubný kameň zvyčajne zaberá najhlbšie zuby, ako aj priestory medzi nimi a ďasnami na vnútornej strane zubného oblúka.
S jeho odstránením vám pomôže produkt, ktorý určite máte vo svojej kuchynskej skrinke.
Použitie doma

Jedlá sóda je široko dostupná a veľmi lacná.
Ide o látku s alkalickou reakciou, ktorá však pôsobí mierne žieravo.
Má množstvo využití v domácnosti ale aj na záhrade.
Od kulinárskych, cez kozmetické, až po tie, ktoré súvisia s hnojením rastlín.
Mnohí z vás určite vedia, ako skvele a rýchlo čistí a odvápňuje kuchynské vybavenie.
Poradí si aj s odvápňovaním zubov?
Samozrejme.
Hydrogénuhličitan sodný je prítomný aj v bieliacich zubných pastách.
Je to veľmi dobrý abrazívny materiál, preto pomáha pri odstraňovaní zafarbenia.
Domáci spôsob na odstránenie zubného kameňa
Ingrediencie:
1 polievková lyžica sódy bikarbóny
1 lyžička soli
0,5 šálky teplej vody (prevarenej)
0,5 šálky peroxidu vodíka (maximálne 3%)
zubná kefka
medzizubnú kefku
Spôsob prípravy a použitia:
Zmiešajte sódu bikarbónu a soľ v miske.
Štetiny kefky opláchnite teplou tečúcou vodou a potom ich ponorte do pripravenej zmesi soli a sódy.
Umyte si zuby a vypľujte zvyšky z úst.
Na vypláchnutie úst pripravte roztok peroxidu vodíka a čistej vody.

Za týmto účelom skombinujte pol šálky peroxidu vodíka s pol šálkou teplej prevarenej vody.
vyplachujte si ňou ústa asi minútu.
Ak sa chcete zbaviť zubného kameňa z ťažko dostupných miest, použite predtým medzizubnú kefku.
Opakujte túto metódu dvakrát týždenne a zubný kameň postupne zmizne.
Pamätajte, že čistenie sódou nenahrádza každodennú ústnu hygienu.
Ide len o doplnok v starostlivosti o zuby, vďaka ktorému budú vaše zuby snehovo biele.
Veľa šťastia!
Sledujte nás na Google News
po kliknutí zvoľte „Sledovať“







